
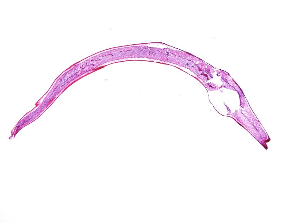
「アニサキスを感電させる新技術」食中毒を減らせると期待大!【適材適食】小園亜由美(管理栄養士・野菜ソムリエ上級プロ)糖尿病専門・甲状腺専門クリニック勤務@福岡姪浜・福岡天神

【寒さ対策】5%OFFクーポン 【新商品】 NERUS ふわとろ毛布 Air AirPremium 【正規品】 毛布 ブランケット もこもこ毛布 モコモコ とろとろ ふわふわ シングル セミダブル…

【正午~クーポン5%引】 【“5年連続”インテ寝具総合1位】確かな品質 「純」 高反発(R) 全部洗える マットレス 10cm厚 3つ折り メッシュ/パイル 折りたたみ ベッドマットレス 10cm…

ラグ 洗える 1畳 1.5畳 2畳 3畳 4畳 洗えるラグ おしゃれ 北欧 防ダニ 冬 床暖房対応 オールシーズン 滑り止め マット ラグマット カーペット ラグカーペット センターラグ 正方形…

【LINE500円OFFクーポン】 枕 枕カバー 付 ヒツジのいらない枕 ギフト 実用的 健康グッズ 誕生日 ギフト 洗える 通気性 寝用枕 うつぶせ寝 まくら ジェル 首 寝返り 横向き 仰向け…

【日本No.1受賞】ハグモッチ 正規品【さらに改善】【医師の92%推奨】30万人の眠りを変えた 枕 ふわもち 腰 肩 首 いびき防止 抱き枕 妊婦 誕生日プレゼント 人をダメにする クッション…

【24h★ポイント3倍!】【一部カラー20%引!】 販売累計12.9万枚! ラグ 洗える シエロ ラグマット キルトラグ 絨毯 北欧 おしゃれ くすみ カーペット 95×130 130×190…

【50%オフクーポン】即納 収納ボックス 収納ケース 折りたたみ 収納 ふた付き キャスター付き 5面開き 前開き 27L 40L 53L 82L 屋外 おしゃれ プラスチック 衣装ケース…

デスクライト LED 調光調色3段階 マグネットライト 着脱式 コードレス 目に優しい 電気スタンド テーブルスタンド 省エネ 500mAh バッテリー タッチセンサー 角度調節可能…

【ジャンル大賞!】 ラグ 洗える 1畳 1.5畳 2畳 3畳 4畳 洗えるラグ おしゃれ 北欧 防ダニ 冬 床暖房対応 オールシーズン 滑り止め マット ラグマット カーペット ラグカーペット…

Anisakis e sintomi dell’anisakidosi, diagnosi e cura
![[もれなくP15倍/19日まで] <3年連続最も売れた毛布> 毛布 シングル 140×200cm ブランケット 冬 ひざ掛け 膝掛け 掛け毛布 160×200cm 180×200cm レギュラー ボリュームタイプ 4層プレミアム マイクロファイバー フランネル セミダブル ダブル 暖かい](https://thumbnail.image.rakuten.co.jp/@0_mall/dondon/cabinet/zmf01_3.jpg?_ex=300x300)
[もれなくP15倍/19日まで] <3年連続最も売れた毛布> 毛布 シングル 140×200cm ブランケット 冬 ひざ掛け 膝掛け 掛け毛布 160×200cm 180×200cm レギュラー…

この世を科学的に知ろう!April 29, 2016BTB(ブロモチモールブルー)の構造変化

【先着10%OFFクーポン】 \楽天1位&8万枚突破/ 掛け布団 シングル 布団 冬用 羽毛布団のように 暖かい シングル 掛け布団 ダブル セミダブル 掛け布団 冬用 シンサレート…

【人気色限定値下中!】カーテン 1級遮光 ミラーレースセット 遮光率99.99% 完全遮光 遮光率100% フック装着済み 4枚セット 2枚セット 幅150cm1枚 遮音 断熱 遮熱 保温…
![[7%OFFクーポン配布中] マットレス 高反発 シングル 三つ折りマットレス 敷布団 敷き布団 三つ折り 高反発マットレス セミダブル ダブル 極厚10cm 3つ折り 消臭 メッシュ生地 ベッドマットレス シングルマットレス セミダブルマットレス ダブルマットレス](https://thumbnail.image.rakuten.co.jp/@0_mall/dondon/cabinet/xlm005_9.jpg?_ex=300x300)
[7%OFFクーポン配布中] マットレス 高反発 シングル 三つ折りマットレス 敷布団 敷き布団 三つ折り 高反発マットレス セミダブル ダブル 極厚10cm 3つ折り 消臭 メッシュ生地…

NEWS学部紹介MOVIEサポート体制学部紹介動画入試紹介入試紹介学科コンテンツ