
【スーパーDEAL ポイント最大35%バック】ワッフル ケーキ 10個 | お菓子 洋菓子 詰め合わせ ギフト 個包装 クリスマス 内祝い お歳暮 御歳暮 ワッフルケーキ スイーツ 冷凍 秋…

【期間限定★10%OFFクーポン+P5倍!】 電動自転車 a01 折りたたみ 電動アシスト自転車 erway 自転車 電気自転車 パワフル 5段階アシスト搭載 20インチ 7段変速 おしゃれ…

【12/12よりポイント20倍】ペーパーポット ティッシュケース おしゃれ トイレットペーパー対応 ティッシュホルダー ティッシュカバー かわいい 丸型 ボックスティッシュ対応…

【無料★特典付】 【特別価格】水受けセット ユニソン スプレスタンド60ソリッド 蛇口1個セット+ステンレスパン 蛇口付き立水栓 水栓柱&ガーデンパン 組合せセット 4カラー 1口水栓柱…

図1.マイコプラズマ肺炎の年別・週別発生状況(2001~2011年第43週)

【スペシャルSALE|クーポン配布】ガスコンロ リンナイ ガステーブル パールクリスタル ホワイト 白 59cm 両面焼きグリル プロパン 都市ガス 据置型ガスコンロ 2口 ココットプレート同梱…

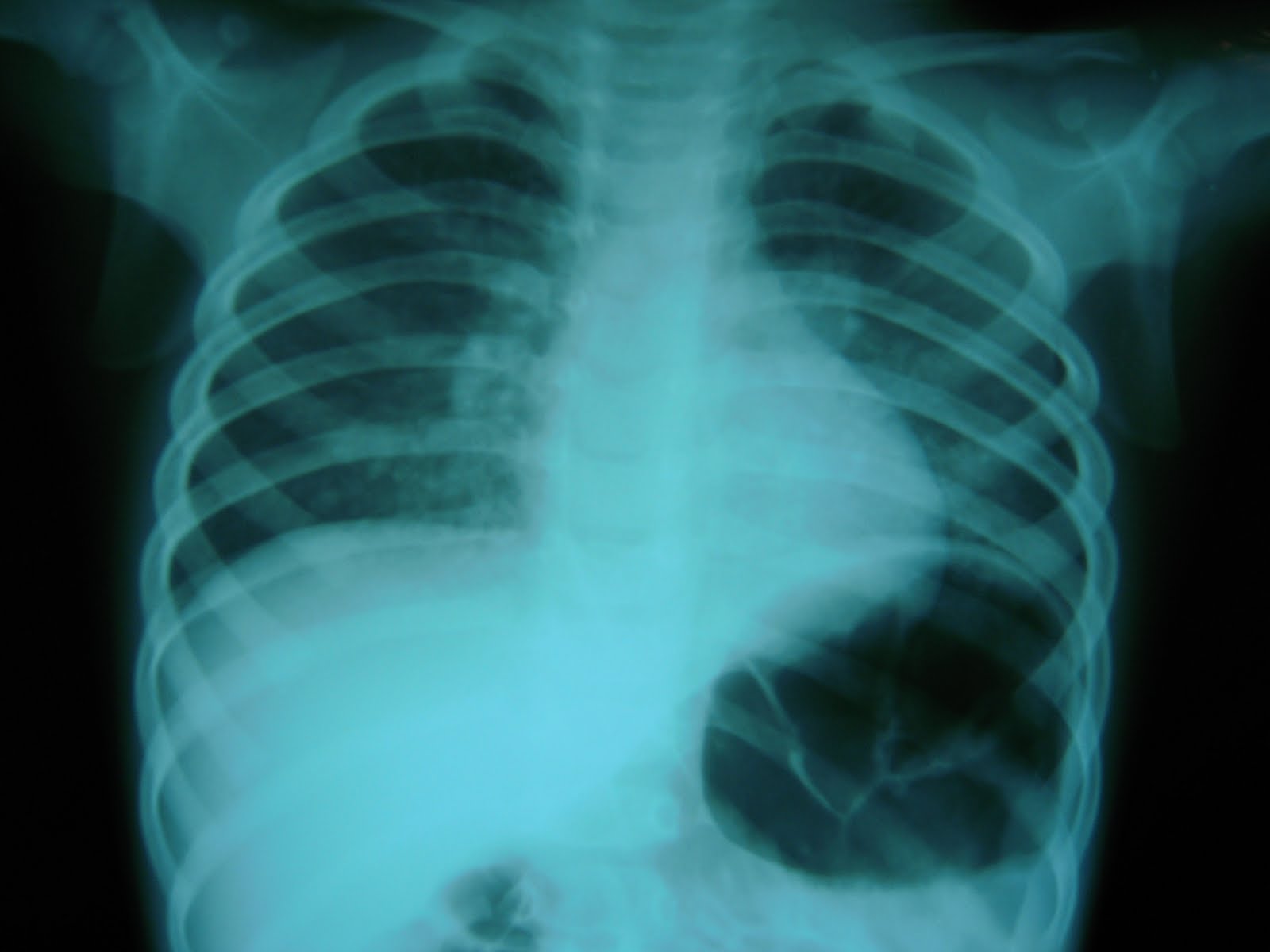
レジデントノート 2017年1月号掲載【解答・解説】抗菌薬無効の肺炎として紹介された20歳代女性

【ご新規様限定49%OFFクーポン|13日10時~100名限定】 iphone16 ケース iphone16e ケース iphone16pro iphone11 ケース スマホケース…

【楽天1位!5年保証】シーリングライト 照明器具 LED 調光調色 おしゃれ 電気 北欧 照明 6畳 8畳 10畳 12畳 14畳 リモコン付き LED対応 インテリア 間接照明 天井照明…

マイコプラズマ肺炎(小児)患者の看護(症状・看護計画・注意点)について

【期間限定★10%OFFクーポン+P5倍!】 サスペンション搭載 型式認定済 電動自転車 免許不要 130km走行可能 a02 折りたたみ 電動アシスト自転車 20インチ 自転車 350Wモーター…

今日なに読もう〜病院総合診療医の論文ブログ〜マイコプラズマ肺炎の画像所見コメント

眩しくない 鯖江 夜間 運転 サングラス 運転用 調光サングラス レディース ネオコントラスト 調光 ナイト おしゃれ ボストン メガネ メラニン uvカット 白内障 術後 保護メガネ ネオグラス…

今日なに読もう〜病院総合診療医の論文ブログ〜マイコプラズマ肺炎の画像所見コメント

子どもに多い「マイコプラズマ肺炎」何度もかかる「マイコプラズマ肺炎」- index -サイト内検索

期間値引クーポンあり ドレッサー おしゃれ 女優ミラー《自社製品》可愛い デスク 欧風 鏡台 お姫系 ベロア調 テーブル 幅80cm 幅60cm 幅100cm チェスト スツール LEDミラー…

【納期お問合せ下さい】 UNISON ガーデンシンク バル 立水栓 バルスタンド トールポット 上下蛇口 セット BARU 水栓柱 ユニソン 補助蛇口 ホース用 2口 ガーデンポット サテン…

【ご新規様限定49%OFFクーポン|13日10時~100名限定】 iphone16 ケース iphone15 ケース スマホケース カード iphone14 ケース iphone13 ケース…

風邪の後の長引く咳、咳止めの効かない咳、夜間の咳、
『咳喘息』以外の長引く咳の原因とは?②

累計15万台突破!値下げオフィスチェア メッシュ おしゃれ ハイバック コンパクト 腰楽 腰痛対応 ロッキング デスクチェア コンパクト パソコンチェア ワークチェア PCチェア メッシュチェアー…