
薄毛隠し 増毛スプレー CAX ボリュームアップスプレー 1本単品 育毛剤や発毛剤と併用可 耐水 白髪隠し ブラック ブラウン 黒 茶 ホンマでっかTV 薄毛 増毛 はげかくしパウダー ハゲ隠し…

【楽天1位/レビュー1.3万件★4.64】ヘアブラシ Lefina 豚毛×天然木 高級パドルブラシ ヘッドスパニスト監修 頭皮ケア 頭皮マッサージ 静電気防止 髪質サポート 艶髪 乾燥対策 ギフト…

はしかで寝たきりに 感染の10年後、少年をおそった難病3月26日 15時34分

はしかで寝たきりに 感染の10年後、少年をおそった難病3月26日 15時34分

プレスリリース
「脳内炎症」を引き起こす新たなタンパク質を発見―脳梗塞への治療応用につながることが期待―

【2枚で25%OFFクーポン】 日本製 ヘアドライタオル 綿100% ハービー Halfbe 楽天1位 / シルクプロテイン ドライヤー時間半分 【オギャ子さん×ヒオリエ ROOMコラボ】タオル…

【全商品ポイント10倍中!!】【高濃度 スーパーミレットエキス】お徳用 90粒 約3ヶ月分 ミレットエキス シスチン コラーゲン 亜鉛酵母 髪の毛 ギフト 贈り物 サプリメント ボリューム 美容…

【送料無料】YASAI シャンプー750ml or ヘアパック600g 大容量タイプ(専用読本付き)通常よりも3倍容量でお得なサイズココナッツ由来最高級洗浄成分配合TAMA Yasai…

f:id:petit-isma7:20200227174014j:plain

【ふるさと納税】髪 すきバサミ 美容師 子供 散髪 貝印 セルフ 痛くない はさみ 【 関孫六 スキハサミ 】ヘアカット ハサミ 鋏 髪切 セルフカット 理美容 家庭用 美容院 髪切りはさみ…

トリートメントの素 ・100mL 髪の NMF 原料混合液 ケラチン 配合 トリートメントのもと 送料無料

https://natalie.mu/comic/news/281527

【ゲリラセール】【クーポンで最大25%off】髪 サプリメント 髪の毛 ふんわりマダム 美髪 サプリ ケラチン 90粒 約1ヵ月分 爪 栄養 白髪 亜鉛 ツヤツヤ サラサラ コラーゲン…

梅原裕一郎 病気の急性散在性脳脊髄炎による現在の病状と原因!余命という言葉との関係を考えてみた!

急性膵炎とエコー像(Acute pancreatitis and the echo images)

【公式】タングルティーザー ザ・アルティメットディタングラー ヘアブラシ 正規品

【店内P最大18倍以上開催】【DHC直販】【送料無料】育毛&美髪ケア DHC薬用美髪根(びはつこん)エッセンスEX(発毛促進剤)【医薬部外品】 | dhc 育毛剤 スカルプケア 薄毛 抜け毛…

初体験!圧倒的ヘアオイル誕生!【送料無料】髪サラダ ●新ヘアオイル●ひとぬりの感動 たったの10秒で驚く髪へ 圧巻のヘアオイル遂に新誕生アルガンオイルを始め、贅沢植物オイル配合|コスメ…

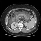
急性膵炎のCT画像診断のポイントは?症状、治療、原因、ガイドライン、CT gradeは?

【UCHINO公式店】ウチノ とってもよく吸う「ごくふわ」 ヘアータオル|内野 タオル 綿100% コットン 抗菌 防臭 吸水 速乾 軽い やわらか ふわふわ 小さめ ヘアタオル ヘアキャップ…

( 髪飾り 美和花 ) 卒業式 髪飾り 成人式 つまみ細工 セット 3colors 振袖 花 和装 着物 赤 白 黒 ベージュ 成人式 卒業式 袴 かんざし