
\半額アウトレット/【50%OFF】【最大300円OFFクーポン有】 カフェトレー 天然木製 40cm お盆 長角膳 白木 ウッド 木目 トレー 北欧風 おしゃれ 木製 カフェ ナチュラル…

くまニュース旋毛虫感染症について解説した横浜市のページが凄まじいと話題にコメント一覧(※過度な連投・自演・同じ文章の再投稿は規制対象)

【スーパーDEAL ポイント最大35%バック】ワッフル ケーキ 10個 | お菓子 洋菓子 詰め合わせ ギフト 個包装 クリスマス 内祝い お歳暮 御歳暮 ワッフルケーキ スイーツ 冷凍 秋…

爪も大事な身体所見 Part⑦~Splinter hemorrhage~

【楽天1位!5年保証】シーリングライト 照明器具 LED 調光調色 おしゃれ 電気 北欧 照明 6畳 8畳 10畳 12畳 14畳 リモコン付き LED対応 インテリア 間接照明 天井照明…

f:id:fr_dorataka:20181210155159j:plain

【20%OFFクーポン!LINE追加で今すぐ使える☆】 iphone16 ケース iphone15 ケース スマホケース カード iphone14 ケース iphone13 ケース…

野生のクマを食べて食中毒に・・35年ぶりに確認された【せん毛虫】症とは?

ペーパーポット ティッシュケース おしゃれ トイレットペーパー対応 ティッシュホルダー ティッシュカバー かわいい 丸型 ボックスティッシュ対応 Aicollection アイコレクション 日本製…

f:id:fr_dorataka:20181210161927j:plain

【Black Friday★クーポン利用で30,000円OFF!】 電動自転車 a01 折りたたみ 電動アシスト自転車 erway 自転車 電気自転車 パワフル 5段階アシスト搭載 20インチ…

ニュー阿寒ホテル 悠久の自然を眺めながら美食家垂涎のジビエ料理を堪能 生命の息吹を感じる エゾシカロース グランヴヌール添え が味わえる期間限定プランの販売がスタート Karakami Hotels Resorts株式会社のプレスリリース

【当店厳選商品ポイントUP中】【無料★特典付】 【特別価格】水受けセット ユニソン スプレスタンド60ソリッド 蛇口1個セット+ステンレスパン 蛇口付き立水栓 水栓柱&ガーデンパン 組合せセット…

【ブラックフライデーSALE】 ガスコンロ リンナイ ガステーブル パールクリスタル ホワイト 白 59cm 両面焼きグリル プロパン 都市ガス 据置型ガスコンロ 2口 ココットプレート同梱…

お歳暮 お菓子 ギフト スイーツ クッキー 詰め合わせ 御歳暮 冬ギフト 高級 おしゃれ 誕生日プレゼント 個包装 がらんの小石 30個入 お取り寄せスイーツ プチギフト 焼き菓子 出産祝い…

皮下を幼虫がはう「顎口虫症」青森県で初確認 約130人に症状 多くはシラウオ加熱…

フィラリア症(犬糸状虫症)予防について①。実は猫ちゃんも要注意ですよ。

【Black Friday★P5倍+40,000円OFFクーポン!】 サスペンション搭載 型式認定済 電動自転車 免許不要 130km走行可能 a02 折りたたみ 電動アシスト自転車 20インチ…

ブログ「風の谷」 再エネは原発体制を補完する新利権構造旋毛虫感染症(トリヒナ症)について19世紀中ごろ、旋毛虫( Trichinella spiralis )の生活史を明らかにしていったのは、ドイツの病理学者 Rudolph Virchow でした。Virchow(ウィルヒョウ)は、白い斑点でいっぱいになった筋肉をもった人の死体とめぐり会いました。白い斑点でいっぱいになった筋肉に顕微鏡で旋毛虫( Trichinella spiralis )の幼虫を多数認めました。この旋毛虫( Trichinella spiralis )の幼虫でいっぱいの筋肉をイヌに与えたところ、イヌは数日で死亡しました。このイヌの解剖の結果、イヌの小腸に、旋毛虫( Trichinella spiralis )の成虫を認め、イヌの死亡の原因を旋毛虫( Trichinella spiralis )だと考えました。また、旋毛虫( Trichinella spiralis )の幼虫を含んだ筋肉を摂氏58.33度以上で10分以上加熱すれば、感染力がなくなることを Virchow は、明らかにしました。Virchow は、旋毛虫( Trichinella spiralis )の生活史についての研究成果を本「トリヒナに関する学説の発表」(”Darstellung der Lehre von Trichinen ”; Verlag von Georg Reimer; Berlin; 1864年)にまとめました。そして、ハムや豚肉製品をよく加熱することの大切さを、国中を熱心に説いて回りました。dancyu 2016年2月号 にジビエの特集があります。この内容が恐ろしいです。こういう雑誌を見た自称「グルメな」人が、軽いおしゃれな感覚で、ジビエを食べてみようとするのでしょう。

期間値引クーポンあり ドレッサー おしゃれ 女優ミラー《自社製品》可愛い デスク 欧風 鏡台 お姫系 ベロア調 テーブル 幅80cm 幅60cm 幅100cm チェスト スツール LEDミラー…

ナッツ チョコレート 詰め合わせ ギフト ミックスナッツ お歳暮 お菓子 クリスマス 豆菓子 個包装 セット 12袋 大容量 贈答用お菓子 ばらまき プチギフト 小分け 美味しい チョコ おつまみ…

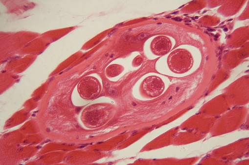
顕微鏡下で筋肉組織における旋毛虫の幼虫 - ストックフォト・写真素材...

顕微鏡下で筋肉組織における旋毛虫の幼虫 - ストックフォト・写真素材...

【納期お問合せ下さい】 UNISON ガーデンシンク バル 立水栓 バルスタンド トールポット 上下蛇口 セット BARU 水栓柱 ユニソン 補助蛇口 ホース用 2口 ガーデンポット サテン…