![[SS限定]全品5%OFFクーポン 【新商品】 NERUS ふわとろ毛布 Air AirPremium 【正規品】 毛布 ブランケット もこもこ毛布 モコモコ とろとろ ふわふわ シングル セミダブル ダブル ハーフ ふわもこ ふわとろ ポコポコ ひざ掛け 2枚合わせ 6層 厚手 秋冬 Branchpoint](https://thumbnail.image.rakuten.co.jp/@0_mall/t-interior/cabinet/item/usual/htc50_bp2.jpg?_ex=300x300)
[SS限定]全品5%OFFクーポン 【新商品】 NERUS ふわとろ毛布 Air AirPremium 【正規品】 毛布 ブランケット もこもこ毛布 モコモコ とろとろ ふわふわ シングル…

{3D708E44-72CB-42EF-A13A-356EE1E14ACA}

{B84EDAC7-9576-4510-A33D-782F99C537FC}

中が透けない 壁付き チェスト スリム/ワイド 幅34/54 奥行41.5/41.7 高さ66.1/86.1/106.1cm タンス 衣装ケース 収納ケース プラスチック 引き出し 洗面所 収納…

【スーパーSALE期間73%OFF 12/4 20時〜】ラグマット 厚手 極厚25mm 2畳 3畳 洗える フランネル 防音 滑り止め付 床暖房 ホットカーペット対応 こたつ 対応 高反発ラグ…

【LIVEエントリーP5倍】 【“5年連続”インテ寝具総合1位】確かな品質 「純」 高反発(R) 〈全部洗える〉 マットレス 10cm厚 3つ折り 折りたたみ ベッドマットレス 10cm…

【タイムセール1,456円〜!3点購入クーポンで!】高品質 毛布 ふわとろ毛布 もこもこ毛布 ブランケット モコモコ とろとろ ふわふわ ハーフ シングル セミダブル ダブル ふわもこ ひざ掛け…

【半額以下★更に3点目50%クーポン】 \楽天1位&8万枚突破/ 掛け布団 シングル 布団 冬 羽毛布団のように 暖かい シングル 掛け布団 ダブル セミダブル 掛け布団 冬用…

私はどれだけ生きられる がん患者の余命とは何か 教えて けいゆう先生 時事メディカル 時事通信の医療ニュースサイト
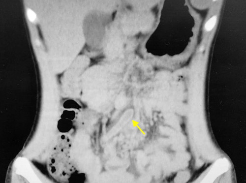
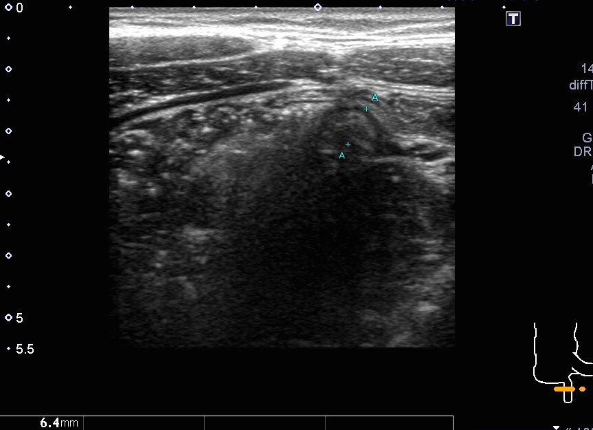
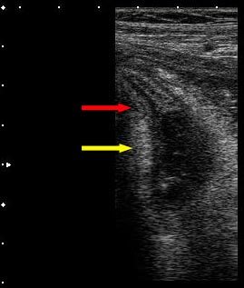
![急性虫垂炎…でもその原因は?[画像診断道場~実はこうだった(151)]
関連記事・論文](https://www.jmedj.co.jp/files/product/jrnl/5000/5000_001_01.jpg)
急性虫垂炎…でもその原因は?[画像診断道場~実はこうだった(151)]
関連記事・論文

【77%OFFクーポンで570円】【総合ランキング1位 】収納ボックス 折畳み キャスター付き 5面開閉 収納ケース 押入れ収納 組立簡単 27L/40L/53L/82L 積み重ね…

虫垂腫瘍の画像診断(虫垂粘液腫、appendiceal mucocele)、虫垂癌
![[クーポンで20%OFF] [即日出荷] [レビュー11000件超え/高評価4.59点] 毛布 シングル 140×200cm ブランケット 冬 ひざ掛け 膝掛け 掛け毛布 160×200cm 180×200cm レギュラー ボリュームタイプ 4層プレミアム マイクロファイバー フランネル セミダブル ダブル 暖かい](https://thumbnail.image.rakuten.co.jp/@0_mall/dondon/cabinet/zmf01_3.jpg?_ex=300x300)
[クーポンで20%OFF] [即日出荷] [レビュー11000件超え/高評価4.59点] 毛布 シングル 140×200cm ブランケット 冬 ひざ掛け 膝掛け 掛け毛布 160×200cm…

千葉県松戸市 内視鏡内科・内視鏡外科、甲状腺疾患、内科、外科の高木クリニック。 虫垂炎

★楽天スーパーSALE限定最大16%OFF★~11日1:59!見逃し厳禁★掛け布団 洗える 布団 シングル セミダブル ダブル シンサレート 暖かい 洗濯 丸洗い 軽量 軽い 冬 冬用 冬掛け布団…

田村淳、緊急手術 下腹部の激痛で搬送→「虫垂炎」 SNSも当面は休止へ

【日本No.1受賞】ハグモッチ 正規品【さらに改善】【医師の92%推奨】30万人の眠りを変えた 枕 ふわもち 腰 肩 首 いびき防止 抱き枕 妊婦 誕生日プレゼント 人をダメにする クッション…

ラグ 洗える 1畳 1.5畳 2畳 3畳 4畳 洗えるラグ おしゃれ 北欧 防ダニ 冬 床暖房対応 オールシーズン 滑り止め マット ラグマット カーペット ラグカーペット センターラグ 正方形…

\P5倍 楽天スーパーSALE半額50%OFF 1000円ポッキリ 4個以上でイーゼルプレゼント/フォトパネル 写真プリント キャンバス 印刷 写真パネル 20cm×20cm 完全データ入稿…

【★ポイント3倍&200円OFFクーポン】【一部カラー20%引!】 販売累計12.9万枚! ラグ 洗える シエロ ラグマット キルトラグ 絨毯 北欧 おしゃれ くすみ カーペット 95×130…

総合診療医:誰もがわかりやすく医療を理解する事ができるブログ盲腸(虫垂)は不必要?、虫垂切除をすると癌になるの?