
\半額アウトレット/【50%OFF】【最大300円OFFクーポン有】 カフェトレー 天然木製 40cm お盆 長角膳 白木 ウッド 木目 トレー 北欧風 おしゃれ 木製 カフェ ナチュラル…

【スーパーDEAL ポイント最大35%バック】ワッフル ケーキ 10個 | お菓子 洋菓子 詰め合わせ ギフト 個包装 クリスマス 内祝い お歳暮 御歳暮 ワッフルケーキ スイーツ 冷凍 秋…

茶臼岳(那須岳)~朝日岳登山ルート「那須ロープウェイを利用してニセ穂高とも呼ばれる岩峰へ」

【楽天1位!5年保証】シーリングライト 照明器具 LED 調光調色 おしゃれ 電気 北欧 照明 6畳 8畳 10畳 12畳 14畳 リモコン付き LED対応 インテリア 間接照明 天井照明…

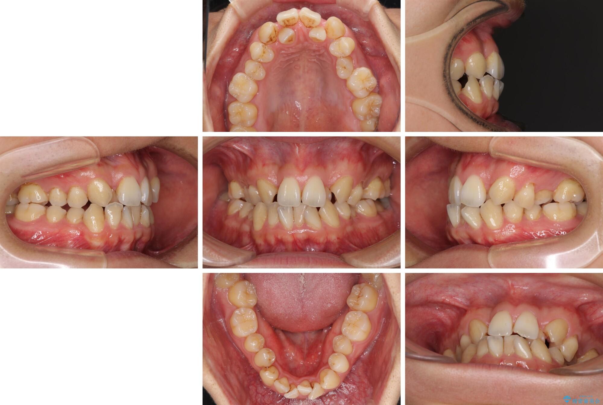
重なり合って磨きにくい前歯 ワイヤー装置での抜歯矯正の症例写真重なり合って磨きにくい前歯 ワイヤー装置での抜歯矯正

【20%OFFクーポン!LINE追加で今すぐ使える☆】 iphone16 ケース iphone15 ケース スマホケース カード iphone14 ケース iphone13 ケース…

ペーパーポット ティッシュケース おしゃれ トイレットペーパー対応 ティッシュホルダー ティッシュカバー かわいい 丸型 ボックスティッシュ対応 Aicollection アイコレクション 日本製…

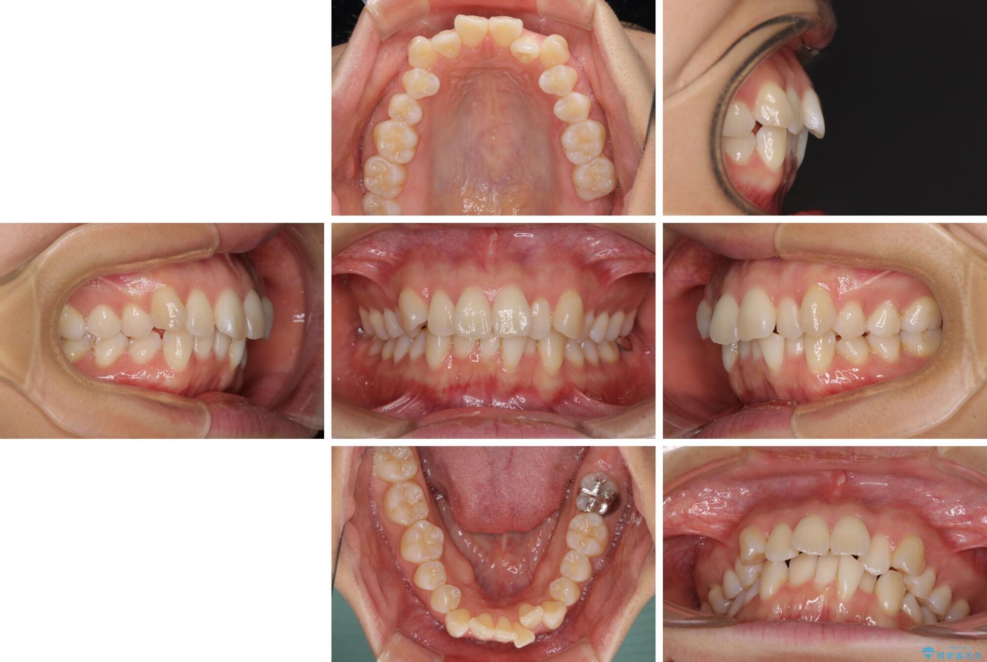
前歯のデコボコを抜歯矯正で改善 メタル装置で費用を抑えるの症例写真前歯のデコボコを抜歯矯正で改善 メタル装置で費用を抑える

糸魚川ジオパークのおじさんのブログ糸魚川ジオパークの紹介292加賀街道の昨今 能生白山神社の見処

【Black Friday★クーポン利用で30,000円OFF!】 電動自転車 a01 折りたたみ 電動アシスト自転車 erway 自転車 電気自転車 パワフル 5段階アシスト搭載 20インチ…

【当店厳選商品ポイントUP中】【無料★特典付】 【特別価格】水受けセット ユニソン スプレスタンド60ソリッド 蛇口1個セット+ステンレスパン 蛇口付き立水栓 水栓柱&ガーデンパン 組合せセット…

親知らず抜歯後の穴なら江戸川区篠崎駅の口腔外科・歯医者親知らず抜歯後の穴が塞がらず食べカスが詰まる!歯磨きはいつからOK?

【ブラックフライデーSALE】 ガスコンロ リンナイ ガステーブル パールクリスタル ホワイト 白 59cm 両面焼きグリル プロパン 都市ガス 据置型ガスコンロ 2口 ココットプレート同梱…

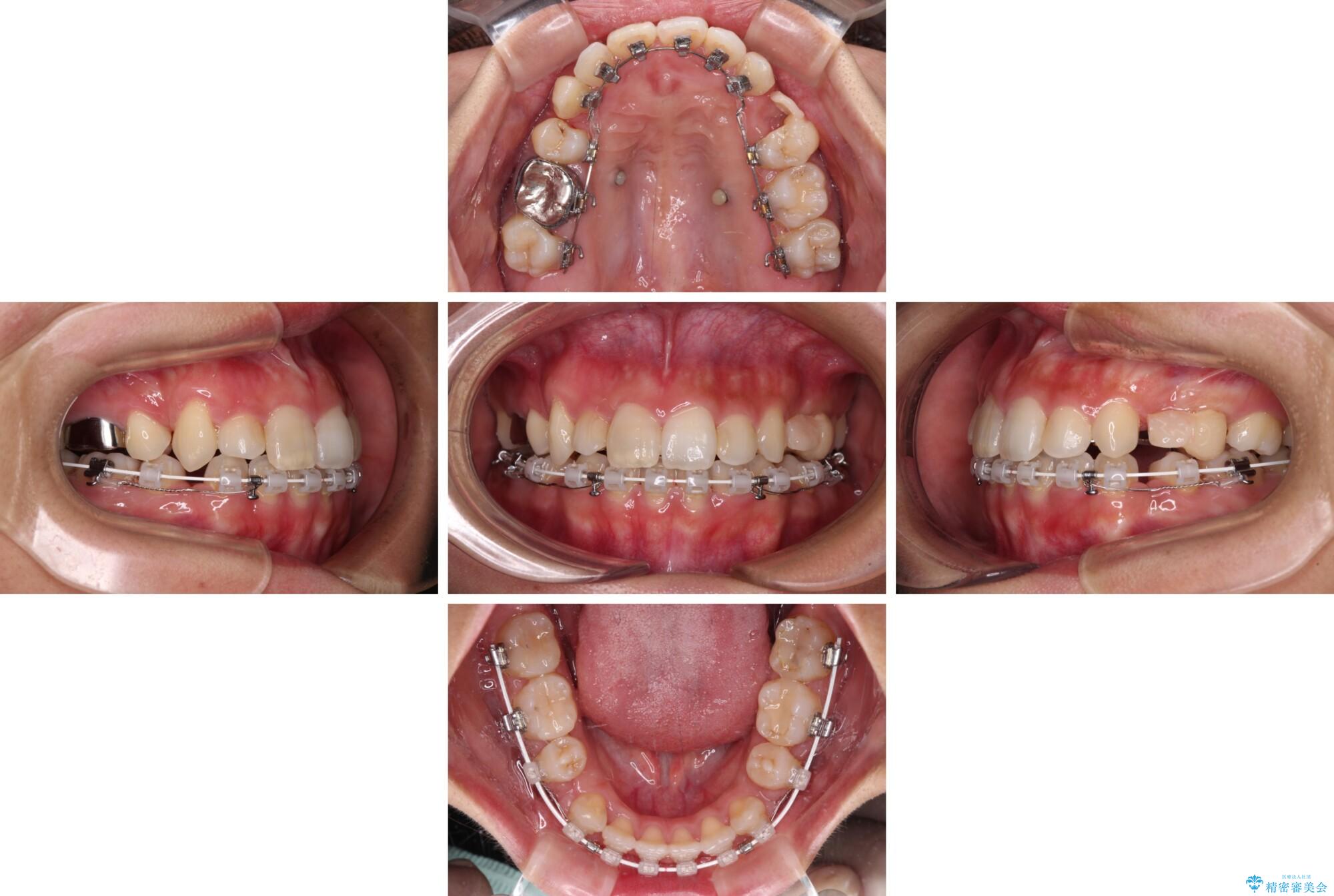
気になる八重歯 目立ちにくいハーフリンガルでの抜歯矯正の症例写真気になる八重歯 目立ちにくいハーフリンガルでの抜歯矯正

お歳暮 お菓子 ギフト スイーツ クッキー 詰め合わせ 御歳暮 冬ギフト 高級 おしゃれ 誕生日プレゼント 個包装 がらんの小石 30個入 お取り寄せスイーツ プチギフト 焼き菓子 出産祝い…

消費者保護。東日本大震災・津波避難・福島原発。子供安全。冤罪。警察不祥事。労働者権利。相川哲弥ブログ

【Black Friday★P5倍+40,000円OFFクーポン!】 サスペンション搭載 型式認定済 電動自転車 免許不要 130km走行可能 a02 折りたたみ 電動アシスト自転車 20インチ…

期間値引クーポンあり ドレッサー おしゃれ 女優ミラー《自社製品》可愛い デスク 欧風 鏡台 お姫系 ベロア調 テーブル 幅80cm 幅60cm 幅100cm チェスト スツール LEDミラー…

ナッツ チョコレート 詰め合わせ ギフト ミックスナッツ お歳暮 お菓子 クリスマス 豆菓子 個包装 セット 12袋 大容量 贈答用お菓子 ばらまき プチギフト 小分け 美味しい チョコ おつまみ…

プロ先生の歯列矯正日記
歯を抜きっぱなしにしておくと後々大変なことになります
コメントトラックバック

【納期お問合せ下さい】 UNISON ガーデンシンク バル 立水栓 バルスタンド トールポット 上下蛇口 セット BARU 水栓柱 ユニソン 補助蛇口 ホース用 2口 ガーデンポット サテン…