クーポンで7,089円【連続週間1位★AIスマート加湿】 加湿器 大容量 加湿器 卓上 9L 加湿機 ハイブリッド加湿器 加湿器 スチーム式 5重除菌 空気清浄機 湿度設定 マイナスイオン UVライト除菌 高温除菌 リモコン 次亜塩素酸水対応 アロマ対応 入切タイマー 省エネ
13,900円
419 customer ratings
4.54 ★★★★★
詳細説明 商品名 ハイブリッド式加湿器 型番 LH-2210 パッケージ 加湿器本体+日本語取扱説明書+リモコン 寸法/重量 約270*170*310mm 約3kg この商品について 【9L大容量・幅広い湿度設定・広域加湿】 「超音波式」と「加熱式」を融合させた9L大容量ハイブリッド加湿器です。…

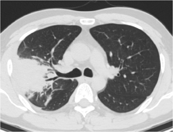
![甲状腺癌の肺転移と鑑別を要する肺の病気[日本甲状腺学会認定 甲状腺専門医 橋本病 バセドウ病 甲状腺超音波エコー検査 長崎甲状腺クリニック(大阪)]](https://www.nagasaki-clinic.com/images/special/thyroid11/images20200701222927.jpg)







