
\半額アウトレット/【50%OFF】【最大300円OFFクーポン有】 カフェトレー 天然木製 40cm お盆 長角膳 白木 ウッド 木目 トレー 北欧風 おしゃれ 木製 カフェ ナチュラル…

透明感溢れる美肌に💖凍結乾燥ヒト幹細胞培養液高速ジェットエアー導入⭐︎ACトリートメント90分

【スーパーDEAL ポイント最大35%バック】ワッフル ケーキ 10個 | お菓子 洋菓子 詰め合わせ ギフト 個包装 クリスマス 内祝い お歳暮 御歳暮 ワッフルケーキ スイーツ 冷凍 秋…

【楽天1位!5年保証】シーリングライト 照明器具 LED 調光調色 おしゃれ 電気 北欧 照明 6畳 8畳 10畳 12畳 14畳 リモコン付き LED対応 インテリア 間接照明 天井照明…

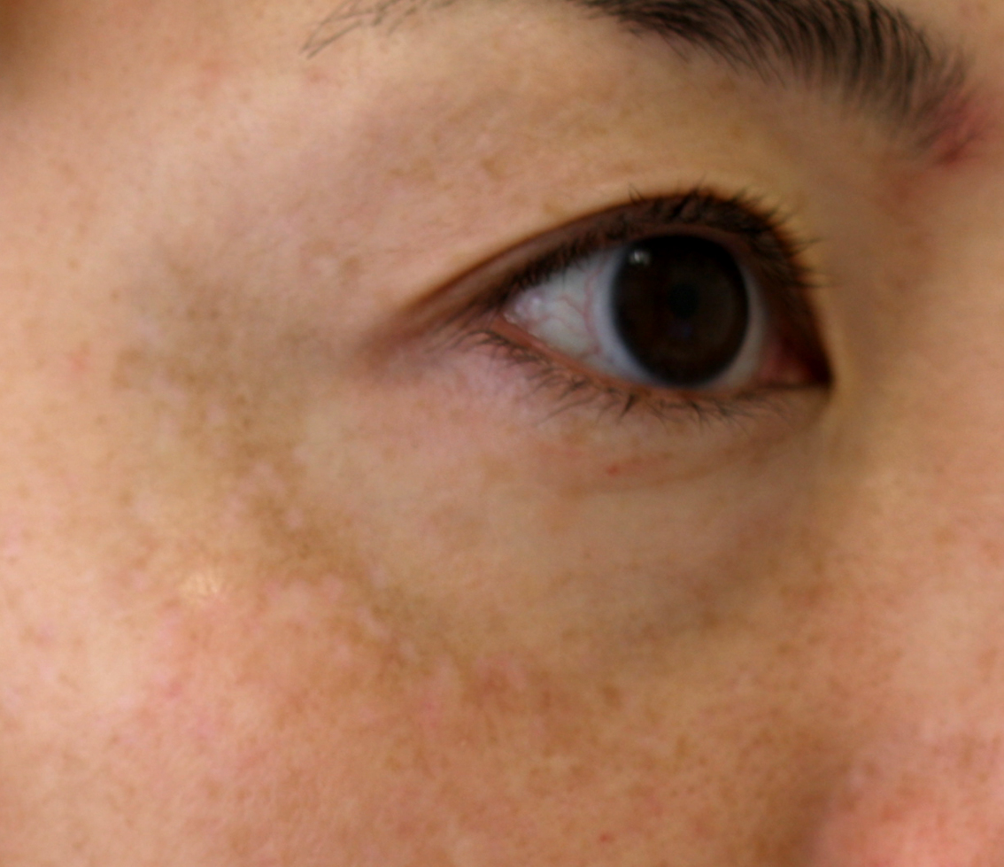
ゼオスキンで肝斑が劇的な改善!治療はクリニックで受けてほしい。という症例

【20%OFFクーポン!LINE追加で今すぐ使える☆】 iphone16 ケース iphone15 ケース スマホケース カード iphone14 ケース iphone13 ケース…

大阪 堺でシミ取り専門サロン40代からの美肌改善肝斑(かんぱん)・色素沈着にお困りの女性へ。。

湘南美容外科と品川スキンクリニック、肝斑(かんぱん)治療をするならどっちがいいのか比較してみた

ペーパーポット ティッシュケース おしゃれ トイレットペーパー対応 ティッシュホルダー ティッシュカバー かわいい 丸型 ボックスティッシュ対応 Aicollection アイコレクション 日本製…

松下皮フ形成外科・院長日記2013年11月ニキビ痕に対するTCA(トリクロル酢酸)によるスポットピーリング線状肝斑ウイルス性疣贅(いぼ)を高周波メスで治療ポイントライムライト(光)とジェネシス(レーザー)でリフトアップ?

【Black Friday★クーポン利用で30,000円OFF!】 電動自転車 a01 折りたたみ 電動アシスト自転車 erway 自転車 電気自転車 パワフル 5段階アシスト搭載 20インチ…

肝斑醫美也沒用!專家親授7招養肝秘訣,肝好了、皮膚自然白皙粉嫩|每日健康 Health

【当店厳選商品ポイントUP中】【無料★特典付】 【特別価格】水受けセット ユニソン スプレスタンド60ソリッド 蛇口1個セット+ステンレスパン 蛇口付き立水栓 水栓柱&ガーデンパン 組合せセット…

【ブラックフライデーSALE】 ガスコンロ リンナイ ガステーブル パールクリスタル ホワイト 白 59cm 両面焼きグリル プロパン 都市ガス 据置型ガスコンロ 2口 ココットプレート同梱…

お歳暮 お菓子 ギフト スイーツ クッキー 詰め合わせ 御歳暮 冬ギフト 高級 おしゃれ 誕生日プレゼント 個包装 がらんの小石 30個入 お取り寄せスイーツ プチギフト 焼き菓子 出産祝い…

【Black Friday★P5倍+40,000円OFFクーポン!】 サスペンション搭載 型式認定済 電動自転車 免許不要 130km走行可能 a02 折りたたみ 電動アシスト自転車 20インチ…

肝斑徹底プログラム | 美容皮膚科・スキンケアなら城本クリニックについて。美容皮膚科・スキンケアなら城本クリニック。

期間値引クーポンあり ドレッサー おしゃれ 女優ミラー《自社製品》可愛い デスク 欧風 鏡台 お姫系 ベロア調 テーブル 幅80cm 幅60cm 幅100cm チェスト スツール LEDミラー…

ナッツ チョコレート 詰め合わせ ギフト ミックスナッツ お歳暮 お菓子 クリスマス 豆菓子 個包装 セット 12袋 大容量 贈答用お菓子 ばらまき プチギフト 小分け 美味しい チョコ おつまみ…

肝斑は、マイルドなパワーのトーニングレーザーで、メラニンを徐々に減らしていきます

【納期お問合せ下さい】 UNISON ガーデンシンク バル 立水栓 バルスタンド トールポット 上下蛇口 セット BARU 水栓柱 ユニソン 補助蛇口 ホース用 2口 ガーデンポット サテン…