
【ふるさと納税】 ★レビューキャンペーン実施中★ 富士山蒼天の水 <ラベルレス> 500ml×96本(4ケース) 第1位 天然水 ミネラルウォーター 水 シリカ ランキング 防災 備蓄 高評価…

Principles of Neural Science Chapter 17

Voyager Therapeutics: phase Ib clinical trial resultsSearchThe Science of Parkinson’sRecent postsArchiveScience of PD on TwitterRecent Posts

【ふるさと納税】水 2L 【定期便 あり】嬬恋の 天然水 ラベルレス ボトル 2L × 10本 入× 1~3箱 【 年内お届け 12/21入金確認分まで ( 月指定便 ・ 定期便 除く)】 毎月…

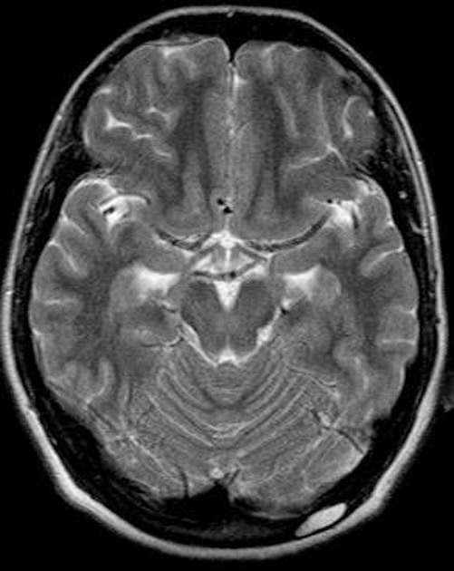
パーキンソン病に似た症状が特徴の線条体黒質変性症とは? 多系統萎縮症の病型を解説

【ふるさと納税】 ◆北海道の天然水 【 選べる お届け回数 】 単品 2ヶ月 3ヶ月 定期便 いろはす ラベルレス 2L 2箱 12本 セット 24本 36本 い・ろ・は・す 2000ml…

f:id:Yu-daiblog:20181229215741j:plain

【ふるさと納税】【配送方法が選べる】飲む温泉水 温泉水99 1.9L(通常便:計12~60本/定期便:12本×5〜12回 or 24本×5回・計60~144本)水 ミネラルウォーター 温泉水…

【ふるさと納税】<楽天限定価格>水想い 蔵王連峰の雪どけ天然水(ナチュラル ミネラルウォーター) ラベルレス 500ml×42本 軟水 最短3日発送 42本 500ml 大容量 アウトドア…

中枢神経系末梢神経神経線維腫症(neurofibromatosis)眼

【ふるさと納税】 年内発送 い・ろ・は・す 天然水 2L 選べる 本数 12本~36本 北杜市白州産 水 飲料 飲料水 ミネラルウォーター コカ・コーラ いろはす ペットボトル 防災 キャンプ…

【ふるさと納税】【配送方法が選べる】ミネラルウォーター 水 500ml(通常便:25・40・50本 /定期便:25本or40本or50本×3〜6回・計75~300本) 天然アルカリ温泉水 財寶温泉…

BIYOUDO 水 シリカ水 500ml×42本 350ml×48本 ナチュラルミネラルウォーター ラベルレス 軟水 美容ミネラル シリカ含有 天然水 シリカウォーター 保存料なし…
![暗黒物質 コレクション向け アフガニスタン産 ユニークフローライト No.3909 [フローライト]](https://www.luckyswallowgem.com/data/luckyswallow/product/20200608_DSCF8857.JPG)
暗黒物質 コレクション向け アフガニスタン産 ユニークフローライト No.3909 [フローライト]

【ふるさと納税】水 サントリー天然水 24本×1箱 計24本 550ml 奥大山 SUNTORY ナチュラル ミネラルウォーター 軟水 産地直送 送料無料 500ml+50ml 500…

ネロリのSea Side Story 〜煌めきの中へ〜リサ・レニー:「暗黒物質テンプレートの再生」

水 500ml 48本 ミネラルウォーター 天然水 送料無料 富士山の天然水 富士山の天然水500ml ラベルレス 天然水 バナジウム バナジウム含有 防災 備蓄 アイリスオーヤマ

暗黒物質は「密」になりやすい? – 宇宙で一番小さな銀河から明らかになったその正体

【1本あたり約49.4円】水 ミネラルウォーター 彩水-あやみず- やさしい軟水 500ml 48本 送料無料※一部地域除く ペットボトル ラベルレス ライフドリンクカンパニー LIFEDRINK…

【ふるさと納税】 年内発送 水 サントリー 天然水 南アルプス 2L 選べる本数 6本 12本 通常品 南アルプス 天然水 飲料 軟水 ミネラルウォーター サントリー ペットボトル ベビー 防災…

自然科学研究機構 国立天文台埋もれた暗黒物質の地図を掘り起こす—観測、シミュレーション、人工知能のタッグで描くクリアな宇宙—

星を見る・宇宙を知る・天文を楽しむ AstroArts天文ニュース暗黒エネルギーによる宇宙膨張の加速を確認

【ふるさと納税】【選べる定期便】<楽天限定>水想い 蔵王連峰の雪どけ天然水(ナチュラル ミネラルウォーター) ラベルレス 500ml×42本 2か月〜12か月 軟水 国産 アウトドア キャンプ…