Available on
JapaneseClass.jp
Login
Forgot password
MAIN
Social Feeds
LEARN
Practice
Lessons
Readings
Notes
COMMUNITY
Rankings
Forum
Discord
MISCELLANEOUS
Topics
Matome
Dictionary
Donate
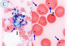
パッペンハイマー小体 - Pappenheimer bodies
View more
Shopping
【10/1限定 P最大8倍】【送料無料】瓶内二次発酵製法カバ5本入り!!激旨スパークリングワイン12本セット 第10弾 スパークリングワイン 辛口 ワインセット 【W04651】
8,800
円
576
customer ratings
4.36
★★★★
…
毎月1日のみの超限定販売!うきうきワインの玉手箱渾身1万円福袋!辛口赤コース 辛口白コース 辛口シャンパーニュコースの3種類販売 ワインセット 赤ワイン 白ワイン シャンパーニュ スパークリング 泡
11,000
円
217
customer ratings
4.2
★★★★
※こちらの商品につきましては、返品・交換はお断りしております。 また、発送は順次発送となります。ご注文殺到時はお時間を頂く場合がございます。予めご了承ください。 ※こちらの福袋につきましては、着日指定はお受けできません。ご注文順に順次出荷させて頂きます。…
【10/1限定 P最大8倍】【 特別 送料無料 】 1本たったの598円(税込) 3大銘醸地入り 世界選りすぐり赤ワイン11本セット 第273弾【7784782】 | 金賞 飲み比べ ワイン ワインセット wine wainn ボルドー フランス イタリア スペイン お買い得 ギフト
6,578
円
5429
customer ratings
4.49
★★★★
ワイン三大銘醸地フランス、イタリア、スペインを中心に、世界の赤ワインを厳選した美味しいとこどりお買得赤ワインセット!1本あたりたったの598円(税込)!直輸入のMy Wine Clubだからできる、デイリーに楽しめるお手頃価格!…
アサヒ スーパードライ 缶( 350ml×24本入)【2shdrk】【アサヒ スーパードライ】[アサヒビール/ビール/スーパードライ]
4,997
円
884
customer ratings
4.59
★★★★★
お店TOP>アルコール飲料>ビール>アサヒ スーパードライ 缶 ( 350ml×24本入)お一人様20個まで。【アサヒ スーパードライ 缶の商品詳細】●さらりとした飲み口、キレ味さえる、いわば辛口の生ビールです。●アルコール度数 5%【品名・名称】ビール【アサヒ スーパードライ…
【10/1限定 P最大8倍】【 送料無料 】 1本あたり749円(税込) 格上メドック&5冠金賞入り!フランス金賞赤ワイン12本セット 第104弾【7784094】 | 金賞受賞 飲み比べ ワイン ワインセット wine wainn フルボディ ボルドー お買い得 パーティー ギフト
8,980
円
2164
customer ratings
4.47
★★★★
ボルドー金賞ワインを含むフランス各地の金賞受賞ワイン12本を厳選! ★信頼のメダル受賞★確かな品質!三段階審査で厳選!各コンクールメダル受賞×マイワインクラブスタッフ×専属ソムリエ…
10/1は食フェス300円OFFクーポン取得可 9/30〜10/1限定P3倍 【食いしんぼう祭 先着700円OFFクーポン対象】【最強配送】【送料無料】 アサヒ スーパードライ 350ml×2ケース/48本 YTR ビール 辛口 アサヒビール
9,627
円
3179
customer ratings
4.83
★★★★★
【内容量】 350ml 【原材料】 麦芽、ホップ、米、コーン、スターチ 【商品説明】 アルコール分:5% 洗練されたクリアな味、辛口。 さらりとした口当たり、シャープなのどごし。 キレ味さえる、いわば辛口ビールです。
食いしんぼう祭対象! エントリー&条件達成で700円OFFクーポン配布中 10/17 9:59まで 送料無料 ブラック ニッカ クリア 4L 37度 4000ml×4本(1ケース) ブレンデッドウイスキー ウヰスキー ペットボトル PET 大容量 ハイボール 【送料無料※一部地域は除く】
15,340
円
381
customer ratings
4.84
★★★★★
●ブラックニッカ クリア クセのないかろやかな味わいの「ノンピート・モルト(ピートを使用せず乾燥させた、ピート由来のスモーキーフレイバーのない大麦麦芽)」を、ほど良い甘味や香味成分を持った良質のグレーンウイスキーとブレンドすることで、クセのない味わいとスッキリした飲みやすさを実現しました。…
【入荷次第発送】 【食いしんぼう祭 先着700円OFFクーポン対象】【送料無料】アサヒ スタイルフリー 350ml×2ケース/48本 YTR 発泡酒 アサヒビール
7,680
円
1741
customer ratings
4.81
★★★★★
【内容量】 350ml 【原材料】 麦芽、麦芽エキス、ホップ、大麦、米、コーン、スターチ、糖類(国内製造)、酵母エキス、食物繊維、大豆たんぱく 【アルコール分】 4% 【商品特徴】 *・。*・。*食べたいものを、好きな時に、好きなお酒と。*・。*・。* アサヒ…
10/1は食フェス300円OFFクーポン取得可 9/30〜10/1限定P3倍 【食いしんぼう祭 先着700円OFFクーポン対象】【最強配送】【送料無料】サッポロ 黒ラベル 350ml×2ケース/48本 YTR サッポロビール
9,570
円
1151
customer ratings
4.79
★★★★★
【内容量】 350ml 【原材料】 麦芽、ホップ、米、コーン、スターチ 【アルコール分】 5% 【商品特徴】 麦芽・ホップ100%協働契約栽培。確かな素材から生まれた“生”のうまさをお届けします。
アサヒ スーパードライ 缶(350ml*48本セット)【アサヒ スーパードライ】[アサヒビール/ビール/スーパードライ]
9,627
円
798
customer ratings
4.55
★★★★★
お店TOP>アルコール飲料>ビール>アサヒ スーパードライ 缶 (350ml*48本セット)お一人様20セットまで。【アサヒ スーパードライ 缶の商品詳細】●さらりとした飲み口、キレ味さえる、いわば辛口の生ビールです。●アルコール度数 5%【品名・名称】ビール【アサヒ スーパードライ…
【クーポン取得可!数量限定】【食いしんぼう祭】ビール アサヒ スーパードライ 350ml×48本2ケース販売(24本×2) 送料無料 ビール 国産 アサヒ ドライ 缶ビール AIB
9,598
円
1329
customer ratings
4.81
★★★★★
●内容アサヒ スーパードライ350ml缶48本 [父の日][ギフト][プレゼント][父の日ギフト][お酒][酒][お中元][御中元][お歳暮][御歳暮][お年賀][御年賀][敬老の日][母の日][花以外]クリスマス お年賀 御年賀 お正月リカーマウンテン
10/1は食フェス300円OFFクーポン取得可 9/30〜10/1限定P3倍 【食いしんぼう祭 先着700円OFFクーポン対象】【最強配送】【送料無料】キリン 淡麗グリーンラベル 350ml×2ケース/48本 YTR ビール 発泡酒 キリンビール
7,750
円
1818
customer ratings
4.84
★★★★★
【内容量】 350ml 【原材料】 麦芽、ホップ、大麦、糖類 【アルコール度数】 4.5% 【商品特徴】 糖質70%オフ※の、からだも気持ちもここちよい発泡酒。※五訂増補日本食品標準成分表による。
2025年10月下旬より発送予定 サッポロクラシック 富良野VINTAGE 350ml 48本 送料無料 期間限定 北海道限定 2025年生産 富良野ヴィンテージ 富良野ビンテージ huranovintage 北海道 限定 ビール
12,220
円
2
customer ratings
5.0
★★★★★
・こちらの商品は他の商品とは同梱できません。 ・予約商品です。10月下旬より順次発送対応させていただきます。 ・他商品もご注文頂く場合は本商品の決済後、改めてご注文頂きますようお願い致します。…
10/1は食フェス300円OFFクーポン取得可 9/30〜10/1限定P3倍 【食いしんぼう祭 先着700円OFFクーポン対象】【最強配送】【送料無料】金麦 350ml×2ケース/48本 ビール 新ジャンル サントリービール
7,680
円
2081
customer ratings
4.83
★★★★★
【内容量】 350ml 【原材料】 発泡酒(国内製造)(麦芽、ホップ、糖類)、スピリッツ(小麦) 【アルコール分】 5% 【商品特徴】 .。o○o。.*:. 日々おいしく飲んでもらえるために… .:*.。o○o。.…
10/1は食フェス300円OFFクーポン取得可 9/30〜10/1限定P3倍 【食いしんぼう祭 先着700円OFFクーポン対象】【最強配送】【送料無料】サントリー 金麦 糖質75%オフ 350ml×2ケース/48本 ビール 新ジャンル サントリービール YTR
7,680
円
2395
customer ratings
4.84
★★★★★
【内容量】 350ml 【原材料】 発泡酒(国内製造)(麦芽、ホップ、糖類、食物繊維)、スピリッツ(小麦) 【アルコール分】 4% 【商品特徴】 .。o○o。.*:. 麦のうまみに磨きをかけました .:*.。o○o。.…
キリン 淡麗グリーンラベル(350ml*48本セット)【kb8】【kb4】【kh0】【淡麗グリーンラベル】[発泡酒 糖質オフ]
7,698
円
606
customer ratings
4.72
★★★★★
お店TOP>アルコール飲料>アルコール飲料 その他>キリン 淡麗グリーンラベル (350ml*48本セット)お一人様20セットまで。【キリン…
【700円クーポン 枚数限定】1本あたり599円(税込) 『当店最安値』スペイン産 スパークリングワイン プロヴェット スパークリング ブリュット 12本 ワイン 辛口 セット RSLA
7,180
円
4760
customer ratings
4.72
★★★★★
楽天市場 総合ランキングにて第1位! (総合・男性ランキング リアルタイム 2020年2月24日(月)17:35更新)…
10/1は食フェス300円OFFクーポン取得可 9/30〜10/1限定P3倍 【最強配送】【送料無料】 選べる 宝 焼酎ハイボール タコハイ 350ml×48本 2ケースセット 350ml×48本 ハイボール takara 宝焼酎ハイボール 宝 ハイボール よりどり
5,773
円
1818
customer ratings
4.87
★★★★★
宝焼酎ハイボールのよりどり2ケースセットです。 リカーBOSS取り扱い商品の宝焼酎ハイボール 350ml缶の中から、 お好きな銘柄をケース単位で2種類選んで、合計48本にしていただきます。 つまり、お好きな2種類×各1ケース=48本のセットです。 ■検索ワード:誕生日 お祝い ギフト プレゼント
10/1は食フェス300円OFFクーポン取得可 9/30〜10/1限定P3倍 【食いしんぼう祭 先着700円OFFクーポン対象】【最強配送】【送料無料】サントリー こだわり酒場のレモンサワー 350ml×2ケース/48本 YTR 酎ハイ
5,878
円
1642
customer ratings
4.86
★★★★★
【内容量】 350ml 【原材料】レモン、スピリッツ(国内製造)、焼酎/酸味料、炭酸、香料、甘味料(アセスルファムK、スクラロース) 【アルコール分】 7% 【商品特徴】…
2025年10月下旬より発送予定 サッポロクラシック 富良野VINTAGE 350ml 24本 送料無料 期間限定 北海道限定 北海道 生ビール 2025年生産 富良野ヴィンテージ 富良野ビンテージ huranovintage
6,620
円
・こちらの商品は他の商品とは同梱できません。 ・予約商品です。2025年下旬より順次発送対応させていただきます。 ・他商品もご注文頂く場合は本商品の決済後、改めてご注文頂きますようお願い致します。…
Dictionary
小体
しょうたい
Shoutai
0
Tags
すべてのスタブ記事
内科学
医学のエポニム
医学用語
医学関連のスタブ項目
医療検査
検査
血液学
診断
診断と治療
Share
Twitter
Trends
trends timeline
Languages
Pappenheimer bodies
パッペンハイマー小体
Related
ハウエルジョリー小体
末梢血塗抹検査
ハインツ小体
好塩基性斑点赤血球
Similar
アウエル小体
アズール顆粒
カボット環
デーレ小体
ペルゲル・フェット核異常
View More
JapaneseClass.jp
Travel
Japan Hotels