Available on
JapaneseClass.jp
Login
Forgot password
MAIN
Social Feeds
LEARN
Practice
Lessons
Readings
Notes
COMMUNITY
Rankings
Forum
Discord
MISCELLANEOUS
Topics
Matome
Dictionary
Donate
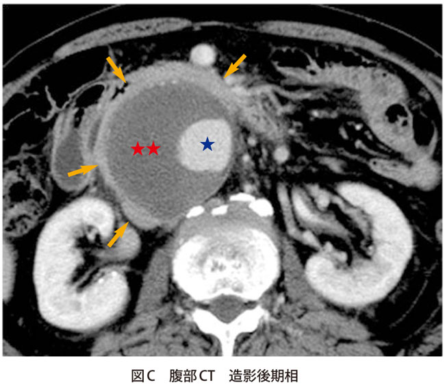
腹部大動脈瘤
ふくぶだいどうみゃくりゅう
Meaning
腹部大動脈瘤
ふくぶだいどうみゃくりゅう
noun (common) (futsuumeishi)
abdominal aortic aneurysm
Translations
abdominal aneurism〔aneurism=aneurysm〕
abdominal aneurysm《医》
abdominal aortic [aortal] aneurysm〔【略】AAA〕
aneurysm of the abdominal aorta〔【略】AAA〕
Kanji
腹
onyomi
フク
kunyomi
はら
meaning
abdomen; belly; stomach
Print Worksheet
Dictionary
部
onyomi
ブ
kunyomi
-べ
meaning
section; bureau; dept; class; copy; part; portion; counter for copies of a newspaper or magazine
Print Worksheet
Dictionary
大
onyomi
ダイ
・
タイ
kunyomi
おお-
・
おお.きい
・
-おお.いに
meaning
large; big
Print Worksheet
Dictionary
動
onyomi
ドウ
kunyomi
うご.く
・
うご.かす
meaning
move; motion; change; confusion; shift; shake
Print Worksheet
Dictionary
脈
onyomi
ミャク
kunyomi
すじ
meaning
vein; pulse; hope
Print Worksheet
Dictionary
瘤
onyomi
リュウ
・
ル
kunyomi
こぶ
meaning
lump; swelling
Print Worksheet
Dictionary
Shopping
1/9〜1/15限定P2倍 【最強配送】【送料無料】 アサヒ スーパードライ 350ml×2ケース/48本 YTR ビール 辛口 アサヒビール
9,618
円
3299
customer ratings
4.83
★★★★★
【内容量】 350ml 【原材料】 麦芽、ホップ、米、コーン、スターチ 【商品説明】 アルコール分:5% 洗練されたクリアな味、辛口。 さらりとした口当たり、シャープなのどごし。 キレ味さえる、いわば辛口ビールです。
【送料無料】コスパ最強!多金チリ赤白12本セット 第3弾 フルボディ 辛口 赤ワイン 白ワイン 【W05396】
8,400
円
18
customer ratings
4.83
★★★★★
…
エノテカ ワイン専門店のイチオシ!エノテカ厳選赤ワイン10本セット PA11-2 [750ml x 10] ワイン ワインセット 飲み比べ 送料無料
11,000
円
665
customer ratings
4.73
★★★★★
※ご注文時の注意点 こちらのワインセットは、セットに含まれるワインがなくなり次第、同じ商品番号・同じページでセット内容の切り替えを行っています。そのため、後日ページをご覧いただいた際、お客様がご注文いただいた時点でのセットの内容と、ページの内容が異なる場合がございます。…
スパークリングワイン セット 辛口 ワインセット 泡 ワイン ギフト 箱 京橋ワイン 京橋わいん 12本 金賞 飲み比べ プレゼント 送料無料 【 第127弾 選び抜いたハイクオリティ泡ばかり12本セット 】
10,890
円
1129
customer ratings
4.67
★★★★★
セット内容 白スパークリング750ml x 11本、ロゼスパークリング750ml x 1本 1本目 グリヴァンド・ヴァン・ムスー・ブリュット Grivandes Vin Mousseux Brut 色・容量:スパークリング白750ml ALC:11.0% ブドウ品種:アイレン…
【送料無料】17年連続ワイン通販国内売上高No.1記念企画!シャブリ5本セット 第8弾 白ワイン 辛口 ワインセット 【W04974】
12,078
円
38
customer ratings
4.42
★★★★
…
【ご好評につき第2弾】ウイスキーくじ " PREMIUM,PREMIUM "!【100口】 | 響21年 山崎18年 山崎12年 響 BLENDER'S CHOICE 山崎 白州 Story of the Distillery 2024 響 JAPANESE HARMONY 送料無料
13,800
円
16
customer ratings
4.81
★★★★★
【送料無料】 金賞受賞&高評価のクリュ・ブルジョワが必ず入る!すべて金賞世界の赤ワイン福袋12本 赤ワイン フルボディ ワインセット 【W04906】
9,980
円
7
customer ratings
4.14
★★★★
…
Images
View more
Share
Twitter